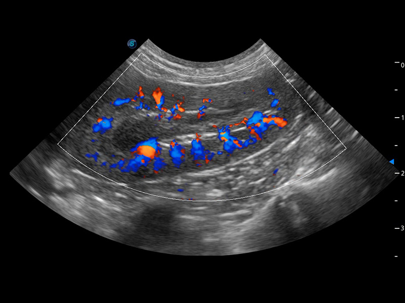
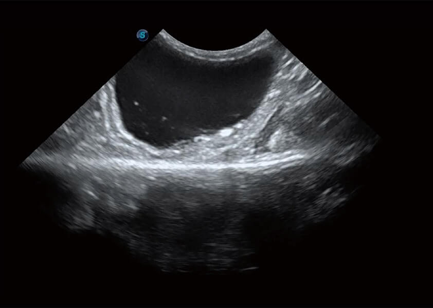
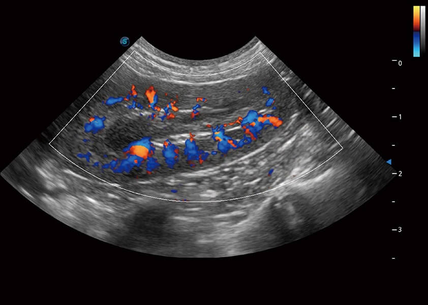
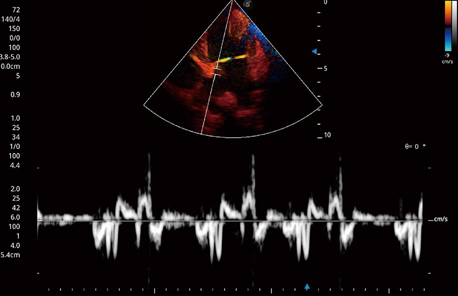
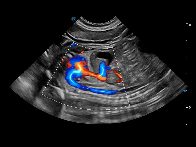
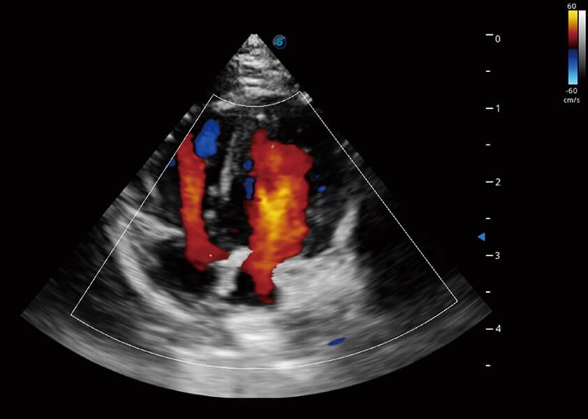
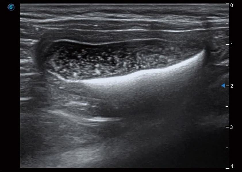
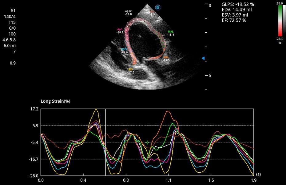
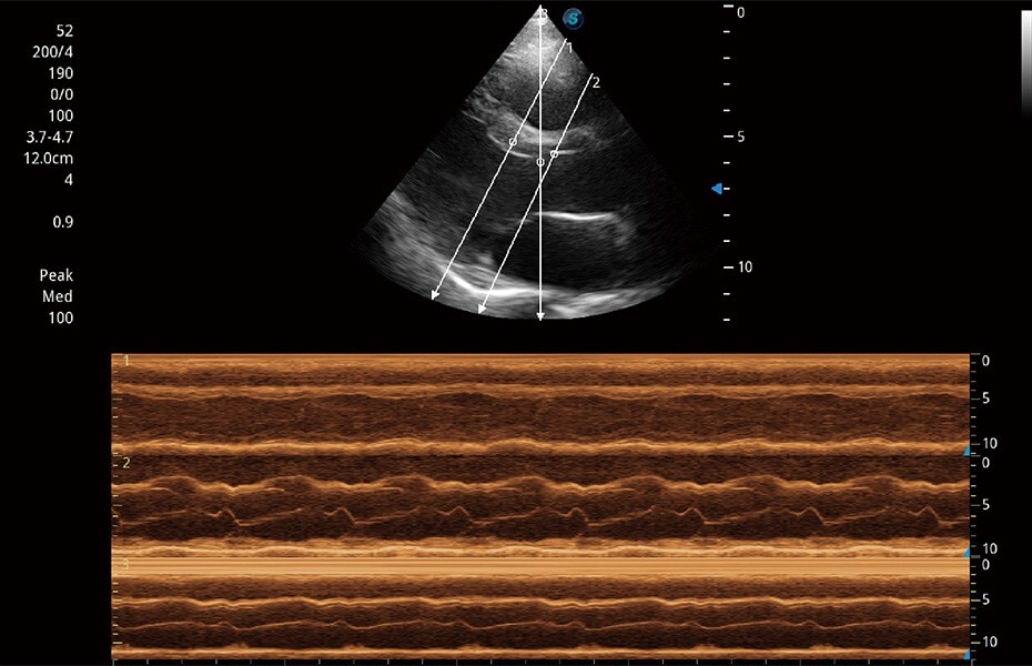
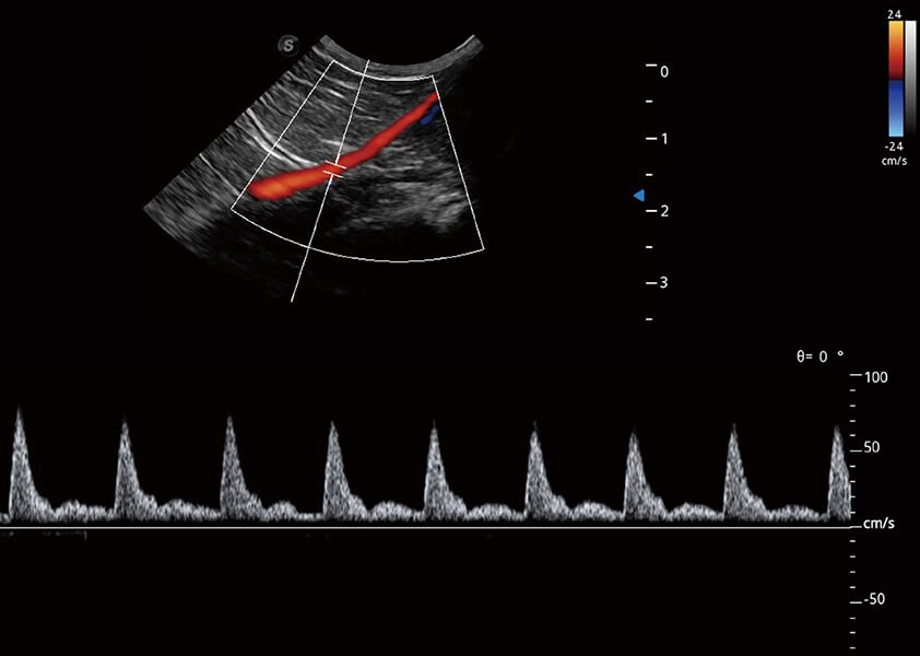
ProPet 60 作為一款高端臺式動物超聲設備,為動物醫(yī)生的日常診斷提供了一系列貼合動物臨床需求、解決臨床實際問題的高級成像功能。憑借全系列高清探頭,滿足醫(yī)生對腹部、心臟、生殖、淺表、肌骨等成像的所有需求,切實幫助您提升檢查效率,提高診斷信心。
用心呵護,詮釋“治愈之力”
ProPet 60 尊享版
獸用彩色多普勒超聲診斷系統(tǒng)

動物是人類最親密的朋友和最值得信賴的伙伴。開立醫(yī)療也一直致力于探索動物專用的超聲影像解決方案。 全新推出的ProPet系列,是開立在動物超聲影像智能化、專業(yè)化、精準化的一次跨越式革新。動物不能用言語來表述自己的不適,通過超聲影像,ProPet系列搭建了動物醫(yī)生與不同物種溝通的“橋梁”,為動物醫(yī)生注入了“治愈之力”。
廣告
